
A especialidade de Cirurgia Vascular e Endovascular é focada no estudo, diagnóstico e tratamento de doenças que acometem artérias, veias e vasos linfáticos.
As artérias são os vasos que conduzem o sangue rico em oxigênio, do coração aos diversos órgãos, membros e tecidos, levando suprimentos e oxigenação às células para que seja possível a realização de suas atividades vitais.
Já as veias, conduzem o sangue com alto teor de gás carbônico de volta ao coração, para que o mesmo seja bombeado novamente ao pulmão onde é realizado o processo de eliminação de gás carbônico e absorção de oxigênio.
Os vasos linfáticos são vasos de calibre muito pequeno, estão localizados no tecido logo abaixo da pele, tem a função de absorver e conduzir o excesso de líquido existente neste espaço em direção ao sistema venoso para que o mesmo seja eliminado, posteriormente, através da filtração renal.

As principais e mais frequentes doenças arteriais estão relacionadas à idade, genética e presença de fatores de risco como tabagismo, diabetes mellitus, hipertensão arterial, colesterol elevado e sedentarismo. Podemos, sucintamente, dividi-las em 2 grupos, não exclusivos entre si.
Doenças arteriais obstrutivas: Estas doenças caracterizam-se pela deposição de gordura na parede das artérias, com formação de placas que crescem progressivamente, causando obstrução ao fluxo adequado de sangue aos tecidos, é conhecida como aterosclerose e comumente compromete diversas artérias do corpo de modo simultâneo. Os sintomas das obstruções arteriais dependem de quais artérias estão comprometidas, da extensão das obstruções e de outras doenças associadas.
Nos casos de acometimento das artérias dos membros inferiores, o sintoma pode ser dor nas pernas para caminhar que melhora instantes após a parada da caminhada, úlceras nas pernas, necroses dos dedos dos pés. Em outras situações como no acometimento das artérias carótidas, por exemplo, o primeiro sintoma pode ser o AVC.
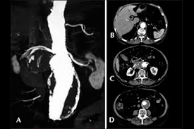
Aneurismas arteriais: São dilatações das artérias que podem evoluir para ruptura e sangramento ou, menos frequentemente, trombose da artéria dilatada. O cirurgião vascular trata os aneurismas de aorta, das artérias dos membros e das artérias viscerais. São geralmente assintomáticos durante seu crescimento, caracterizando importante fator de preocupação visto que podem ser descobertos somente no momento da ruptura, o que diminui muito a possibilidade de correção e prevenção de hemorragia fatal nos aneurismas da aorta, por exemplo.


A prevenção das doenças arteriais está diretamente relacionada ao controle dos principais fatores de risco citados previamente, depende de acompanhamento clínico adequado, exames de rotina e consultas com especialista.
O tratamento específico das doenças arteriais deve ser planejado e realizado por cirurgiões vasculares especializados nesta área. As cirurgias arteriais são procedimentos complexos, envolvem técnicas abertas convencionais e as técnicas minimamente invasivas endovasculares. É necessária equipe cirúrgica capacitada e entrosada, hospital para procedimentos de alta complexidade, além de disponibilidade de tecnologia em materiais específicos.

Com o objetivo elucidativo, cabe aqui a distinção de dois problemas conhecidos relacionados ao sistema venoso: Tromboembolismo Venoso e Insuficiência Venosa.
O Tromboembolismo venoso é mais raro e potencialmente mais grave, pela conhecida e temida embolia pulmonar. Exige tratamento de urgência.
A Insuficiência Venosa é uma situação clínica frequentemente encontrada em nosso meio, relaciona-se ao inchaço e desconforto nas pernas, presença de varizes, não é grave e de tratamento não urgente e não complexo na maioria das vezes.
Consideramos o termo Tromboembolismo Venoso, uma entidade clínica que engloba duas situações: a Trombose Venosa Profunda e a Embolia Pulmonar.
Resumidamente, a Trombose Venosa Profunda é a formação repentina de trombos no interior das veias profundas, geralmente acontece nos membros inferiores e pode se complicar com o deslocamento destes trombos em direção aos vasos do pulmão acarretando na Embolia Pulmonar. A embolia pulmonar, na maioria das vezes, não é grave. Em alguns casos pode levar à insuficiência respiratória, sobrecarga do coração, podendo até ser fatal.
Os principais fatores de risco do tromboembolismo venoso são: idade, imobilização, história de tromboembolismo venoso prévio, obesidade, cirurgias, câncer, gravidez e puerpério, uso de anticoncepcionais dentre outros.
O tratamento do tromboembolismo venoso (trombose venosa profunda e embolia pulmonar) envolve uso de medicação anticoagulante e nos casos extremos pode ser necessário procedimento cirúrgico de emergência.

Insuficiência Venosa Crônica é a incapacidade persistente, duradoura das veias exercerem sua função de conduzir o sangue de volta ao coração. Este conceito abrangente engloba diferentes formas de apresentação, desde pequenos vasinhos dilatados de pele, passando por varizes que são veias dilatadas, tortuosas e alongadas dos membros inferiores até os casos mais graves como inchaço crônico das pernas, com escurecimento e fibrose da pele e úlceras. Varizes podem fazer parte do quadro ou ser a causa da insuficiência venosa.

O tratamento da insuficiência venosa depende de sua causa e da gravidade e deve ser planejado caso a caso. Envolve medidas clínicas como exercícios para fortalecimento da musculatura de panturrilha, compressão elástica das pernas, correção de hábitos posturais, medicações, curativos especializados para os casos de úlceras e o tratamento cirúrgico para varizes.
As cirurgias para tratamento de varizes consistem nas cirurgias de retirada das veias varicosas, se houver insuficiência da veia safena, pode ser realizada a retirada da safena (ressecção) ou a sua eliminação através do calor (laser ou radiofrequência).

Linfedema é o inchaço ou tumefação de algum órgão ou tecido decorrente do mau funcionamento dos vasos linfáticos, acomete principalmente os braços ou as pernas, geralmente é indolor e causa sensação de peso das extremidades afetadas. As causas são diversas: congênitas, secundárias a infecções de pele, câncer, cirurgias ou tratamentos de radioterapia dentre outras.
O tratamento geralmente envolve medidas clínicas como compressão elástica, técnicas específicas através de fisioterapia de drenagem linfática ou compressão através de aparelhos, as cirurgias são realizadas em casos extremos.